Call nowAddress
 

Bridge & Teeth Whitening

North Fitzroy Dental / Smile Gallery / Bridge & Teeth Whitening
Before and after teeth whitening

Actual case done by Dr. Kalyan Voruganti.

Note: whitening done first before bridge.

Bridge and Whitening Treatment

Mr B visited us after being unhappy with the appearance of his front tooth for many years. After losing it in an accident in his younger years, it was replaced with a glued on bridge which made his remaining front tooth look grey. There was also some acid erosion on these teeth adding to the overall yellow appearance of his teeth.

After going through all the options, we were able to provide some home whitening treatment and replaced his bridge with an all ceramic solution. He’s now far happier with his smile and heads into his forties looking younger than ever before!

Before treatment

Before Treatment (B)

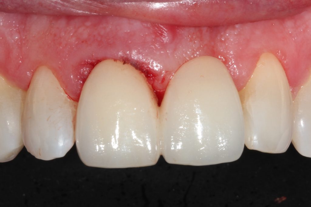
Start of bridge treatment

Start of treatment bridge

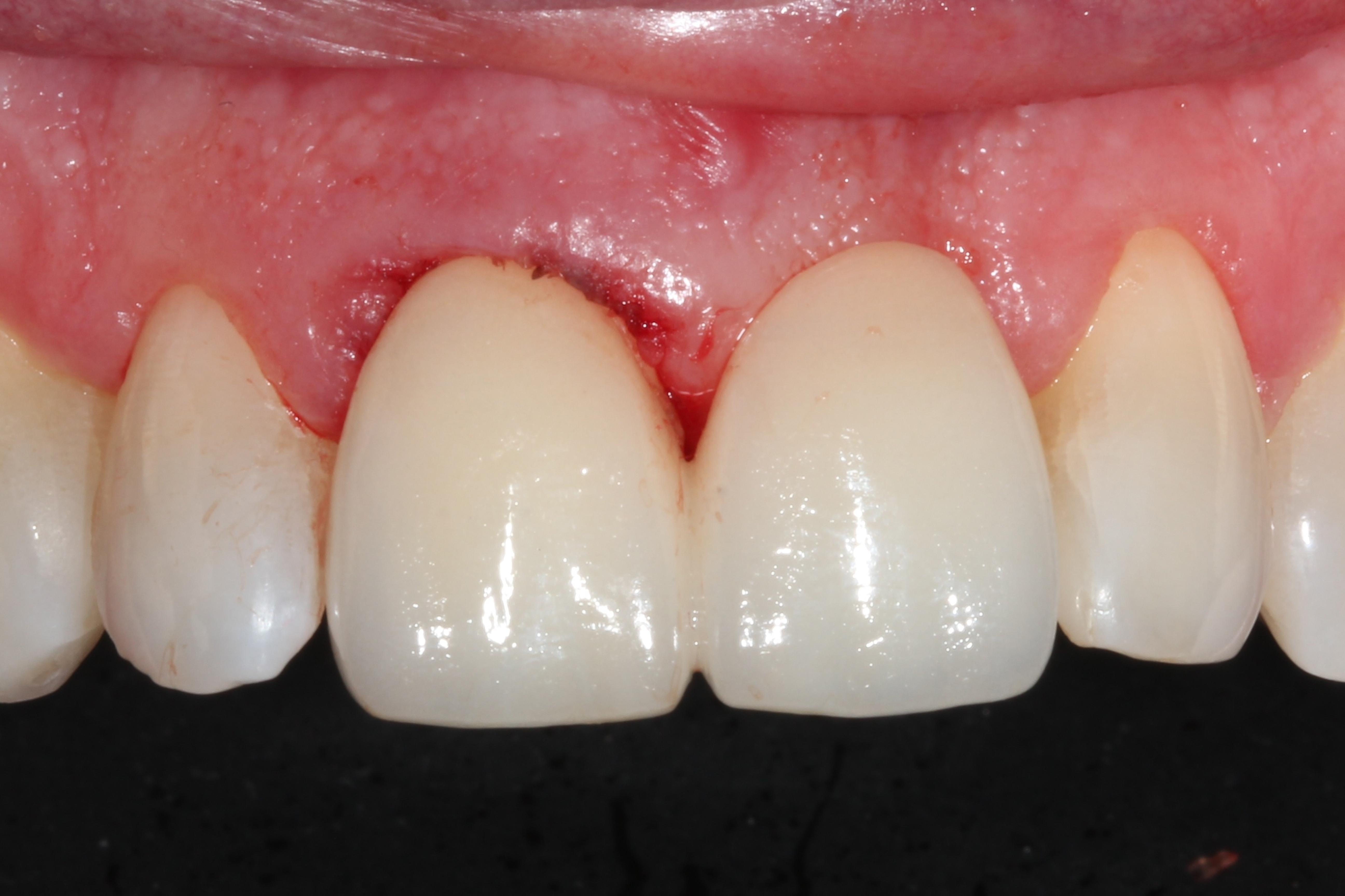
End of patient’s treatment

End of patients treatment

This content is for educational purposes only and is not a substitute for a professional consultation. All dental and cosmetic procedures carry potential risks and complications. Individual results will vary, and a second opinion from an appropriately qualified health practitioner is recommended before proceeding.

All dental services are provided by practitioners registered with the Dental Board of Australia. You can view their registration details on the public Register of Practitioners maintained by AHPRA.

We don’t just care about your teeth, we care about your health.